1.-MARKERS OF VITAL REACTIONS IN FORENSIC HISTOPATHOLOGY:PULMONARY EMBOLISM OF CARDIAC TISSUE DUE TO GUNSHOT WOUND TO THE THORAX.
PROF. GARFIA.A
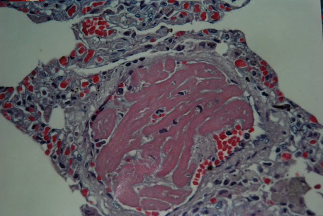
| PROF. GARFIA.A BLOG 1 FORENSICPATHOLOGYFORUM |
FIG. 1.-PULMONARY EMBOLISM Of CARDIAC TISSUE DUE TO GUNSHOT WOUND TO THE THORAX. PROF.GARFIA.A
|
FIG. 2.- PULMONARY EMBOLISM OF CARDIAC TISSUE DUE TO GUNSHOT WOUND TO THE THORAX. ARROWS SHOW THE CHARACTERISTICALLY CENTRALLY PLACED NUCLEI OF THE CARDIAC MYOCYTES. PROF.GARFIA.A
Venous and arterial embolisms of endogenous tissue components and also foreing material must be considered, in Forensic Pathology, as marker of vital reactions. On the other hand, must be borne in mind that, during the putrefactive cadaveric phase can be produced embolization of clusters of hepatic cells due to the putrefactive gases which can propelled it from the liver or other compact organs into the veins of the pulmonary circulation. Lung capillaries functions as a sieve in the blood circulation and various material can be trapped there. Bone marrow embolism is very frequently founded after trauma, reanimation procedures and bone surgery, -specially after methalic prothesis implants, due to the great destruction of bone tissue during the surgical procedure. Pulmonary embolism of bone spicules is a very rare event and sometimes ocurrs after trauma ocurring in a septic bone lesion, or accompanying to the cerebral tissue embolism to the lungs due to gunshot wound to the head. However, embolism of cardiac muscle cells to the lungs is vey rare type of embolism of organ fragments. It has been previously described following the operation on an atrial septum defect in a child.
Case Report
A little girl 16 year old was admitted to Hospital because she had received a close range gunshot wound from a revolver 44 Magnum. She was pronounced death at the arrival in the Hospital. On postmortem examination was found one entrance wound gunshot located at the right shoulder and an exit wound gunshot located between the 9th and 10th left ribs, through the intercostal space. Internal examination demonstrated a rounded hole surrounded by hemorrhagic infiltration, 1.5 cm diameter, which connect with the interventricular septum and perforating it, obliquely, in the way to the posterior face of the left ventricle; here, can be found an exit wound, rounded, affecting left ventricle, posterior interventricular septum and a small part of the wall of the right ventricle. Microscopic lungs examination demonstrate the presence of a lot of emboli of cardiac tissue inside the alveolar pulmonary capillaries.


